В Петербурге готовятся выписать первого в России пациента, которому имплантировали сразу два искусственных желудочка сердца. 36-летний Антон Павлов живёт без пульса и тонометр ему тоже не нужен, а уникальная операция стала для него единственным шансом дожить до пересадки донорского органа.
«С таким — не живут»
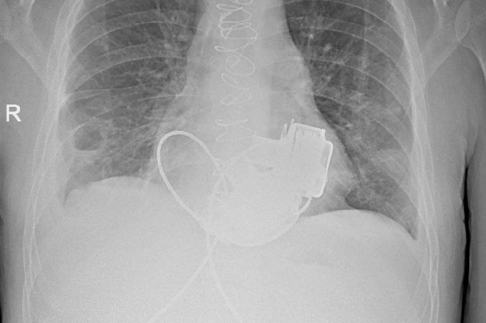
В Мариинской больнице завершается лечение пациента, которого сами врачи называют уникальным. В конце ноября 2025 года 36-летнему петербуржцу Антону Павлову впервые в стране имплантировали сразу два искусственных желудочка — левый и правый (LVAD и RVAD). Это решение спасло ему жизнь: без операции мужчина погиб бы в считаные дни.
Антон поступил в стационар почти два месяца назад с целым набором смертельно опасных диагнозов: дилатационной кардиомиопатией смешанного генеза и терминальной бивентрикулярной сердечной недостаточностью. Ситуацию усугубляли тяжёлые осложнения — рецидивирующая тромбоэмболия лёгочной артерии, хроническая тромбоэмболическая лёгочная гипертензия и инфаркт-пневмония.
«Пациент поступил в очень тяжёлом состоянии. Цифры по его гемодинамическим показателям практически соответствовали погибшему человеку. В норме фракция выброса должна быть выше 40. У Антона при поступлении она была всего 10. С таким практически не живут», — отметил председатель комитета по здравоохранению Петербурга Андрей Сарана.
При таких показателях «золотым стандартом» лечения считается трансплантация сердца. Но именно она в тот момент была невозможна: осложнения делали пересадку смертельно опасной. Тогда главный врач Мариинской больницы Игорь Реутский принял нестандартное решение — имплантировать пациенту сразу два искусственных желудочка, хотя обычно устанавливают только один аппарат.

Нестандартное решение, ювелирная работа
Операцию выполнила команда хирургов под руководством академика РАН, главного внештатного кардиохирурга комздрава Петербурга Геннадия Хубулавы. Она длилась около четырёх часов и проходила с подключением аппарата искусственного кровообращения.
«Хроническая сердечная недостаточность — это эпидемия XXI века. Количество таких больных нарастает в геометрической прогрессии. У Антона были противопоказания к трансплантации сердца — тромбоэмболия лёгочной артерии и инфаркт-пневмония. Поэтому у нас другого выхода не было. Это был единственный способ спасти пациента», — подчеркнул академик Геннадий Хубулава.
По его словам, самой сложной задачей стало не само «протезирование» сердца, а синхронизация работы двух механических насосов.
«Человек — это саморегулирующаяся структура. Правые и левые отделы сердца, большой и малый круги кровообращения автоматически синхронизируются головным мозгом — самым совершенным компьютером в мире. А тут — два механических насоса, которые нужно заставить работать как единое целое. Наши реаниматологи, анестезиологи и кардиологи смогли это сделать», — рассказал кардиохирург.

Первый россиянин без пульса
После операции Антон Павлов стал единственным в России человеком, живущим без пульса. Искусственные желудочки создают ламинарный, а не пульсирующий кровоток, поэтому привычно измерить давление тонометром или нащупать пульс теперь невозможно.
«Пульс — это пульсирующий кровоток от левого желудочка, а он сейчас замещён насосом. Как в кране открываете воду — и она течёт, так и у него течёт кровь по сосудам», — пояснил академик Геннадий Хубулава.
Сам Антон называет свои новые желудочки просто — «машинками» — и признаётся, что не вникает в медицинские детали. Раньше он работал мастером по установке холодильного оборудования, жил обычной жизнью, растил детей, любил борщ и пельмени. Теперь его главная мечта — вернуться домой.
«Врачи составили план, как мне помочь. Сначала хотели поставить одну машинку, а потом сделали вывод, что правый желудочек тоже почти не работает, и нужно два аппарата. Без операции я бы не выжил. Меня ещё ждёт трансплантация сердца — ещё один, можно сказать, день рождения. Что сделаю дома первым делом? Вкусно поем. Жена уже налепила 200 штук пельменей», — говорит Антон.

Послеоперационный период был непростым, но пациент успешно адаптировался к жизни с двумя устройствами и сейчас готовится к выписке. Врачи подчёркивают: имплантация искусственных желудочков — это «мостик» к пересадке донорского сердца, которая Антону ещё предстоит.
«Сейчас ему можно практически всё. Не перегружаться. Слушаться врачей. Основной принцип — жить с удовольствием», — улыбается Геннадий Хубулава.
В 2024 году в Петербурге была принята программа «Десять приоритетов», инициированная губернатором Александром Бегловым. Один из её ключевых пунктов — борьба с терминальной хронической сердечной недостаточностью.
«В 2025 году мы выполнили 10 операций по установке искусственных желудочков сердца — во всех случаях ставился один желудочек. Три операции прошли в Городской больнице № 40 и семь — в Мариинской больнице. В 2026 году планируем выполнить примерно столько же. В очереди на пересадку сердца сегодня около 90 человек», — сообщил Андрей Сарана.
Операция Антона Павлова стала десятой по счёту для Мариинской больницы — и первой в России, где пациенту имплантировали сразу два искусственных желудочка.